Blogs

Introduction to Veneers

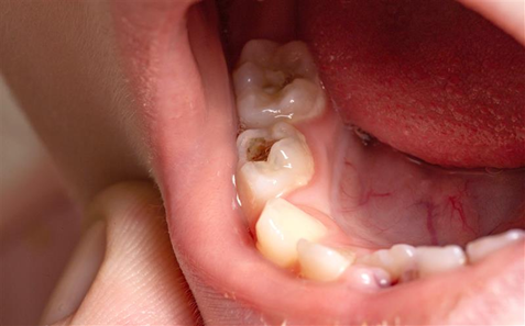
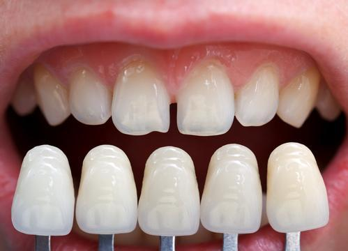
Dental veneers are a fantastic way to transform your smile. They are especially great for people with cracked, chipped, or discolored teeth. Veneers provide a

Read More

All About Dentures

Why are Dentures Used?  Dentures are used to replace missing teeth and restore your smile and ability to eat and speak properly. They provide support

Read More